Планове стентування коронарних судин відтепер можна пройти безоплатно у межах Програми медичних гарантій

Таку медичну допомогу надають у 79 лікарнях по всій Україні, зокрема в Університетській лікарні Львівського національного медичного університету імені Данила Галицького.

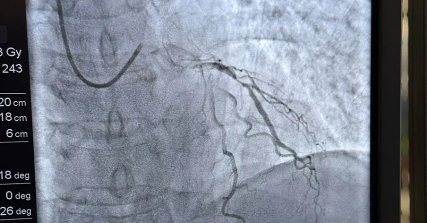
Одним із пацієнтів, який уже скористався цією можливістю, став 53-річний львів’янин Ігор. Чоловік кілька років мав проблеми із серцем, а близько місяця тому почав відчувати задишку та аритмію. Під час візиту до лікарні на консультацію він знепритомнів і був госпіталізований до реанімації. Після стабілізації стану медики провели йому стентування коронарних судин.

«Під час операції я перебував у свідомості. Це не надто складне втручання, але дуже приємно, що воно безкоштовне. І зараз я почуваюся значно краще, ніж кілька днів тому», – розповів пацієнт.

Стентування допомагає відновити кровотік у коронарних судинах та зменшити ризик небезпечних ускладнень, зокрема інфаркту. Для реалізації програми держава закупила понад 76 тисяч стент-систем, які використовують для лікування різних уражень коронарних судин. Це дозволяє пацієнтам з ішемічною хворобою серця отримати необхідне втручання без оплати за стент та саму процедуру.

Як зазначає медична директорка Університетської лікарні ЛНМУ імені Данила Галицького Оксана Капустинська, програмою можуть скористатися пацієнти з хронічним коронарним синдромом.

«Ця програма розрахована на пацієнтів, які пройшли попередні обстеження у свого лікуючого лікаря, мають чіткі показання до проведення процедури та отримали направлення до закладів, що виконують такі втручання», – пояснила вона.

У Клініці серця і судин Університетської лікарні цього року вже виконали понад 40 стентувань коронарних судин. Торік таких втручань було понад 500.

За даними медиків, в Україні понад 3,6 мільйона людей живуть з ішемічною хворобою серця. У 2025 році зафіксували 36 678 випадків інфаркту міокарда, а понад 27,5 тисячі пацієнтів отримали стентування під час лікування інфаркту.

Медики наголошують: регулярні обстеження та своєчасне лікування допомагають попередити серйозні ускладнення і зберегти здоров’я серця.